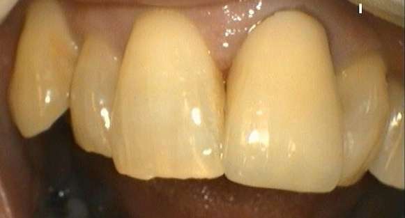
This patient came in for an opinion and treatment about a discoloured front tooth. The patient was not interested in bleaching or orthodontics to fix the crowding and choose to mask the tooth with a ceramic (zirconia) crown.
For more information about dental crowns https://www.teeth.org.au/crowns-bridges-and-veneers
Teeth.org.au is an oral health information website created by the Australian Dental Association (ADA).
 
 
